Mosollyal gyógyítunk!
Célunk, hogy minden páciensünknek magabiztos, egészséges és esztétikus fogsort biztosítsunk. Modern technológiával, empátiával és több éves szakmai tapasztalattal dolgozunk nap mint nap a tökéletes végeredményért.

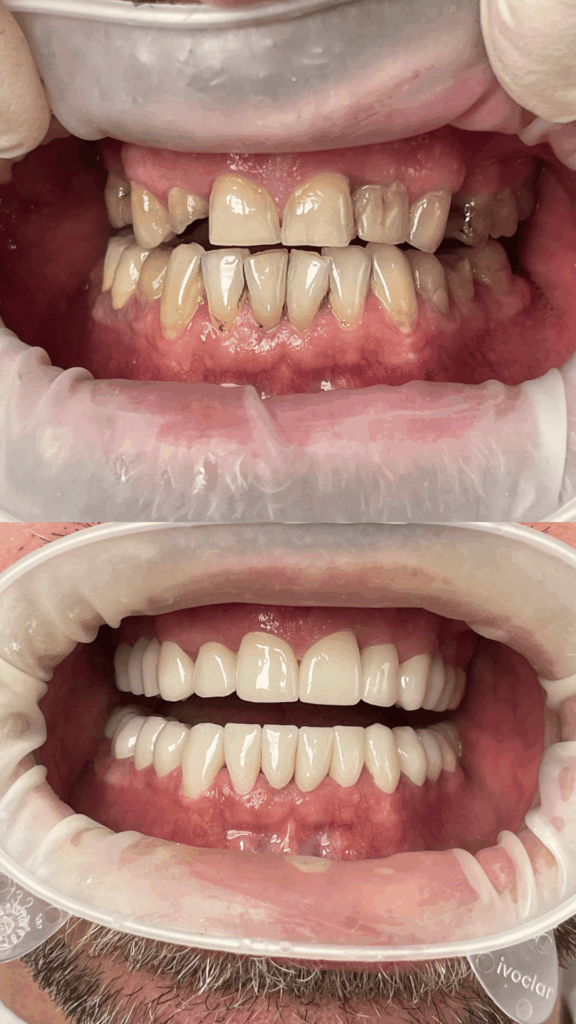
Teljes körhíd megoldás Prettau cirkóniumból – esettanulmány
Egy páciensünk esete jól mutatja, mennyire fontos a fogazat egészsége és esztétikája. A CT vizsgálat kimutatta, hogy a 24-es fog gyulladt, a 37-es fog pedig mozgott, így eltávolításuk elengedhetetlen volt. A jobb felső állcsontban implantátum csak az arcüreg csontállományának megemelésével lett volna lehetséges, ami hosszabb gyógyulási időt igényelt volna. Mivel a páciens gyors megoldást keresett, orvosunk Prettau cirkónium körhidat javasolt, amely a 17–27 és 37–47 fogakig biztosítja a stabilitást és a természetes megjelenést.
Ez a megoldás nemcsak esztétikus, hanem tartós és biokompatibilis, így hosszú távon megőrzi a száj egészségét. Ha Ön is hasonló problémával küzd, kérjen időpontot konzultációra, és találjuk meg együtt a legjobb megoldást!

Mosolyfiatalítás kis hidakkal – amikor a stabilitás és az esztétika találkozik
Ez az eset jól mutatja, hogy az életkor nem akadály a gyönyörű mosolyhoz. Páciensünk eredetileg préskerámia héjakat szeretett volna, de a felső fogak mozgása miatt kis hidakat javasoltunk, amelyek sínezést biztosítanak és hosszú távon stabilak. A kezelés során digitális lenyomatot vettünk, a pótlásokat precízen illesztettük, és a végleges szín (B1) természetes, fiatalos hatást adott.
Az eredmény: egy harmonikus, esztétikus mosoly, amely visszaadja az önbizalmat és a komfortérzetet.

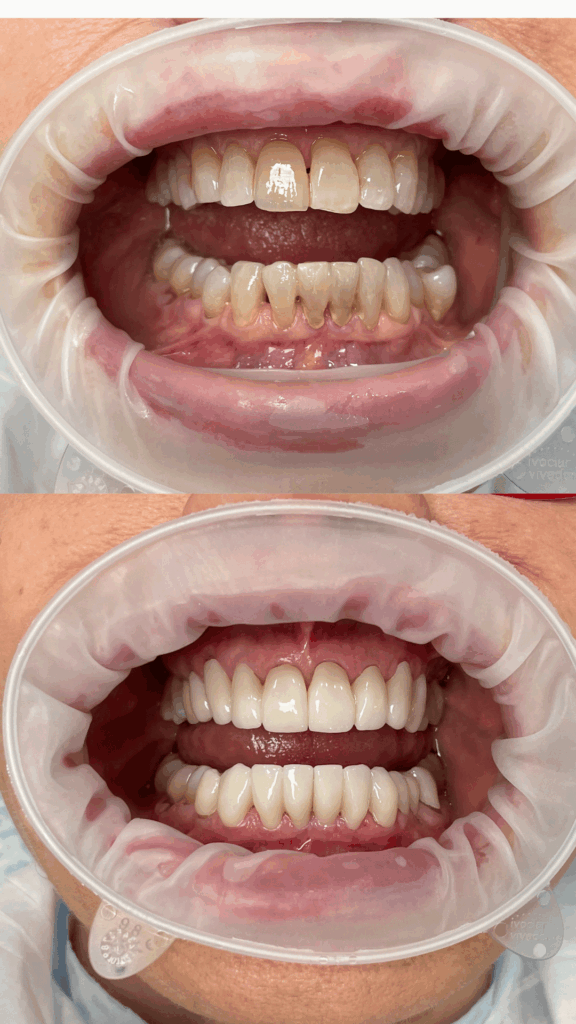
Teljes mosolyrekonstrukció Prettau cirkónium koronákkal – fiatal páciens esete
Fiatal páciensünk önbizalomhiánnyal és komoly fogászati problémákkal érkezett hozzánk. Több foga szuvas volt, és egyes fogakat a kiterjedt károsodás miatt el kellett távolítani. A harapása az egyik oldalon teljesen hiányzott, ami nemcsak esztétikai, hanem funkcionális problémát is okozott.
A megoldás: a megtartott fogak lecsiszolása és 26 darab Prettau cirkónium korona felhelyezése, hogy helyreállítsuk a harapást, a stabilitást és a természetes megjelenést. Az eredmény egy harmonikus, esztétikus fogsor, amely visszaadta a páciens önbizalmát. A kezelés végén a páciens így nyilatkozott:
„Megváltoztatták az életemet!”

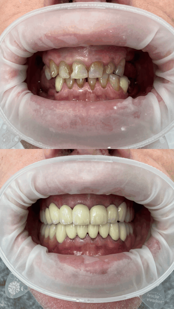
Teljes mosolyrekonstrukció koronákkal és hidakkal – amikor a változás életminőséget ad
Ez az eset jól mutatja, hogy a legrosszabb állapotú fogazat is helyreállítható. Páciensünk több törött foggal, jelentős fogkővel és gyenge szájhigiéniával érkezett. A kezelés során eltávolítottuk a nem menthető fogakat, megszüntettük a fogkő-lerakódást, majd mindkét állcsonton a fogakat lecsiszoltuk és előkészítettük szóló koronák és hidak felhelyezésére.
Az eredmény: egy harmonikus, esztétikus és funkcionális fogsor, amely visszaadja az önbizalmat és a komfortérzetet.

Nyitott harapás kezelése esztétikai megoldással – préskerámia héjak
A nyitott harapás sok páciens számára rendkívül zavaró. Nemcsak a mosoly esztétikáját rontja, hanem a komfortérzetet is: sokan emiatt nem mernek mosolyogni, társaságban felszabadultan jelen lenni. Bár a tökéletes korrekció műtéti úton érhető el, léteznek olyan esztétikai megoldások, amelyek jelentősen javítják a megjelenést – műtét nélkül.
Ebben az esetben páciensünk préskerámia héjakat (veneereket) kapott, amelyek természetes hatást biztosítanak, és harmonizálják a mosolyt. A kezelés célja nem egészségügyi, hanem esztétikai volt – az önbizalom és a magabiztos megjelenés visszaadása.

Fognyaki kopások kezelése préskerámia héjakkal – gyors és esztétikus megoldás
A fognyaki kopások nemcsak esztétikai problémát jelentenek, hanem komoly önbizalomvesztést is okozhatnak. Páciensünk nem mert mosolyogni, társaságban feszélyezve érezte magát, pedig fogai egészségesek voltak. Fogszabályzó helyett gyors és látványos megoldást választott: préskerámia héjak (veneerek), amelyek korrigálják a kopásokat és természetes, harmonikus mosolyt biztosítanak.
Az eredmény egy boldog, magabiztos mosoly – fájdalom és hosszadalmas kezelések nélkül.

Teleszkópos pótlás – tartós és esztétikus megoldás foghiányra
Ez az eset jól mutatja, hogy a teleszkópos pótlás mennyire praktikus és esztétikus megoldás. Páciensünk alsó és felső állcsontjára készült pótlás, amely több lépésben valósult meg: fogak előkészítése, primer koronák felhelyezése, lenyomatvétel, majd a végleges pótlás elkészítése. A kezelés során többször finomítottunk az illeszkedésen és az esztétikán, hogy a végeredmény tökéletes legyen.

Prettau cirkónium koronák és hidak – félelemmentes, kombinált megoldás
Ez az eset jól mutatja, hogy a félelem nem akadály a szép és egészséges mosolyhoz. Páciensünk alsó fogai jelentősen lekoptak, harapása mély volt, és korábbi rossz élményei miatt altatásban kérte a kezelést. A saját fogakra Prettau cirkónium koronákat és hidakat készítettünk: a front régióban koronákat a természetes megjelenésért, a hátsó régióban hidakat a stabilitásért és a foghiányok pótlásáért.
A kezelés során egy fájó fogat gyökérkezeltünk, így a régóta fennálló fájdalom megszűnt. A végeredmény: tartós, esztétikus fogpótlás és teljes komfort.
Ne késlekedjen, foglaljon időpontot a CompletDenthez!
Töltse ki az űrlapot és megígérjük, hogy munkanapokon 12 órán belül visszahívjuk Önt!
